A Faster Solution to having a Confident, and Beautiful Smile!
Make an Appointment
call us on 03 355 7890
Or use the form below
Fastbraces® are a more conservative and faster way to get your teeth straightened. Far fewer extractions are involved and the Fastbraces® system corrects interrupted or incomplete tooth eruptions. We believe it is these incomplete eruptions that cause many tooth alignment problems. We call this orthodontosis – as opposed to orthodontics.
The Difference
With standard braces, treatment normally lasts two years – and many people have braces even longer. But with Fastbraces®, some patients can complete their orthodontic care in as little as 20 weeks. Not everybody will be finished that quickly. But it’s common for patients to complete their Fastbraces® treatment in less than a year, which is a huge saving of time.
One difference is that Fastbraces® use special triangular brackets. This affects the forces exerted by the archwire, as well as using the flexibility of the wire.
With Fastbraces®, the crowns and the roots of your teeth can be moved at the same time. This is what has the most dramatic effect on the total time required to get the job done. With traditional braces, your teeth are moved in stages. First, the crowns are lined up, then the roots are moved to hold the teeth in that position. And each stage takes time to complete. With Fastbraces® we do more at the same time saving you the time and the money.
We treat patients of all ages, so as long as you are of sound health, Fast Braces can truly improve your quality of life. From children to senior citizens, we have helped to transform the lives of many people who are in need of help with their dental problems. Book a free consultation with Dr. Tony Wood. Call 03 288 0028.
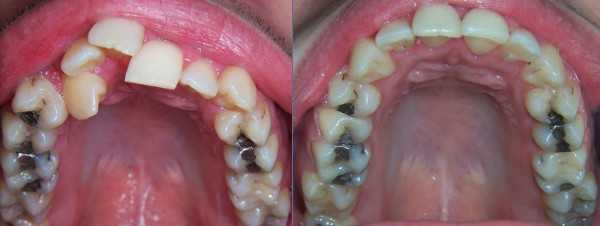
Some of our Before and Afters



SPECIAL OFFER – For Limited Time Only
Make an Appointment
call us on 03 355 7890
Or use the form below
At Bradley Wood Dentists we care about our patients. For a limited time we want to offer you a free consultation with Dr. Tony Wood, to discuss how Fast Braces could work for you.
The free consultation typically lasts 15 – 20 minutes. It’s an opportunity to assess your oral health, to see whether Fast Braces are the right solution for you. We will answer your questions, and give you an idea of pricing.
Our mission is to help you overcome the worries that stop you from having the smile you’ve always wanted.
At our clinic on Papanui Road, Merivale, we use nothing but the highest standards, utilizing the most up-to-date and scientific-based techniques. Above all, our aim is to ensure you feel comfortable and happy throughout the entire process.
So are you ready to find out more about whether Fast Braces are right for you? Fill out the form to secure your free no-obligation consultation. Or call us on 03 355 7890.

